长寿“打包”特色品牌进社区,你看这次社区治理创新够不够“新”?
2023年08月23日 来源: 长寿路街道
近日,长寿路街道下辖同济大学附属普陀人民医院(以下简称“普人民”)首次使用T2可撑开人工椎体,完成了上海市首台使用该椎体的腰椎微创手术,成功救治了一名双下肢瘫痪的花季少女。究竟怎么回事呢?
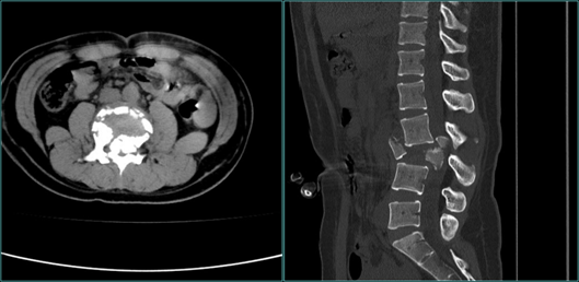
一天,普人民像往常一样有序运转。然而,急诊却并不平静:一位22岁的年轻女孩小郑被120救护车送到了医院急诊。急诊医生简单询问过后,发现她是从高处坠落,导致腰背疼痛,没有办法翻身、起立,现在双下肢处于瘫痪状态。急诊CT显示:腰3椎体爆裂性骨折、腰3双侧椎板骨折。面对这种情况,急诊医生不敢有丝毫耽搁,赶紧将她转到骨科病房住院治疗。

腰椎CT显示
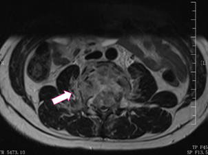
骨科张海龙主任对小郑进行了全面的体格检查,评估了脊柱四肢的运动、感觉和神经反射等情况,并加做了腰椎核磁共振检查。根据影像检查和其他检查结果,发现小郑是腰3椎体爆裂性骨折的骨折碎块压迫脊髓,引起双下肢的不完全性瘫痪,并且合并有马尾神经损伤。


腰椎MRI显示
在完成了必要的术前检查之后,张海龙主任经过全面的评估和慎重的考虑,为小郑进行了“腰椎后路减压+L1、L2、L4、L5椎弓根螺钉内固定+侧路人工椎体内固定术”。可伸缩的人工椎体在微创通道下放置到骨折节段,手术切口仅有5cm左右。

张海龙主任正在进行腰椎微创手术
张海龙主任在小郑的腰椎微创手术中使用了T2可撑开人工椎体,这也是上海市第一台使用该人工椎体的手术。

T2人工椎体上海首台术者
小郑的手术十分顺利,在回到病房之后,她的双脚终于能动了。经过一段时间的康复锻炼之后,小郑从双下肢的不完全瘫痪,到可以主动进行抬腿、抬脚,甚至能够完成踢腿动作,双下肢的肌力也从0级恢复到4级。
复查的影像检查结果也显示,小郑腰椎的植入物位置良好,脊髓和神经的压迫都消失了。此后,小郑还需要进行一系列的康复治疗,以获得更好的恢复。



术后1周余复查腰椎X片、CT和MRI)