长寿社卫提醒您“做好产前检查,预防出生缺陷”
2023年04月06日 来源: 长寿路街道

倡导适龄婚育,孕育健康宝宝
出生缺陷是指婴儿出生前发生的身体结构、功能或代谢异常。目前已知的出生缺陷超过8000种,据统计,我国每年新生缺陷儿约有90万例。其中最广为人知的出生缺陷,便是“唐氏综合征”,在我国每750名新生儿中就有1个唐氏儿。
什么是唐氏儿?
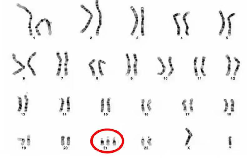
唐氏儿表现为生长发育迟缓、特殊面容、智力障碍,所以唐氏综合征也叫“先天愚型”。正常人只有两条21号染色体,而唐氏综合征患者有3条21号染色体,是一种染色体病,所以唐氏综合征也称为“21-三体综合征”。

“21-三体综合征”
怎么避免生唐氏儿?目前针对“唐氏综合征”没有治愈方法,只能通过产前筛查-产前诊断来避免 “唐氏儿”的出生。
无高危因素的孕妇,可以通过唐氏筛查,无创DNA筛查是否有唐氏综合征的风险,高危型可以进一步进行羊水穿刺。

唐氏筛查
什么是“羊水穿刺”?
“羊水穿刺” 即羊膜腔穿刺,是在B超引导下无菌抽取羊水,对羊水中的胎儿脱落细胞进行培养及染色体分析,也可用羊水细胞DNA做出基因病诊断、代谢病诊断。

“羊水穿刺”
适宜的人群
1.预产期年龄≥35岁的孕妇。
2.血清学筛查和/或孕妇外周血胎儿游离DNA产前筛查高风险的孕妇。
3.夫妇一方为染色体异常携带者的孕妇。
4.曾妊娠或生育过染色体病患儿的孕妇。
5.胎儿有患单基因遗传病风险的孕妇。
6.产前检查怀疑胎儿有染色体异常风险的孕妇。
7.医师认为存在有必要进行产前诊断其他情况的孕妇。
来源:长寿社卫